


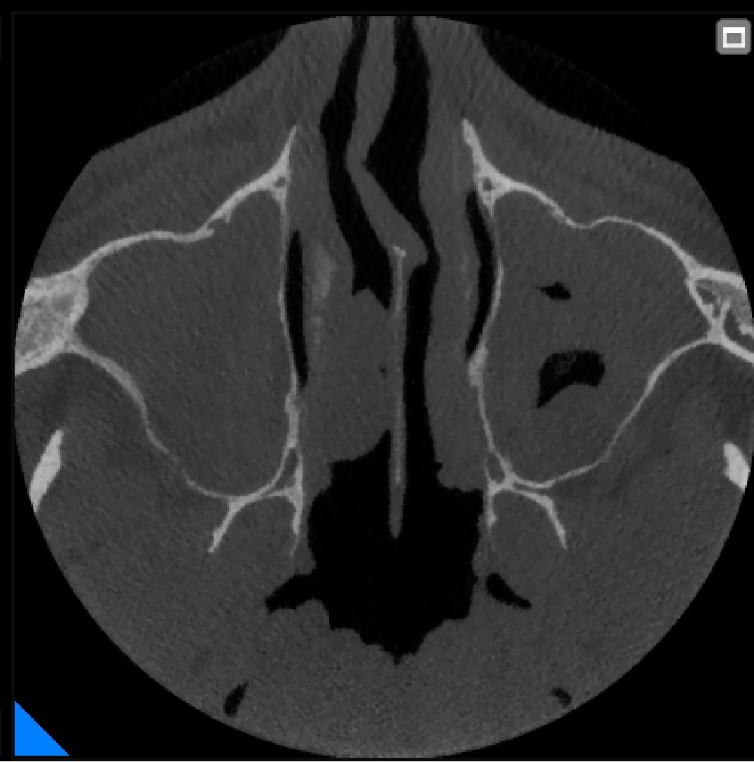
Гайморові пазухи на КТ

Пошук прихованих карієсів, навіть якщо при огляді лікарем зуб виглядає здоровим.
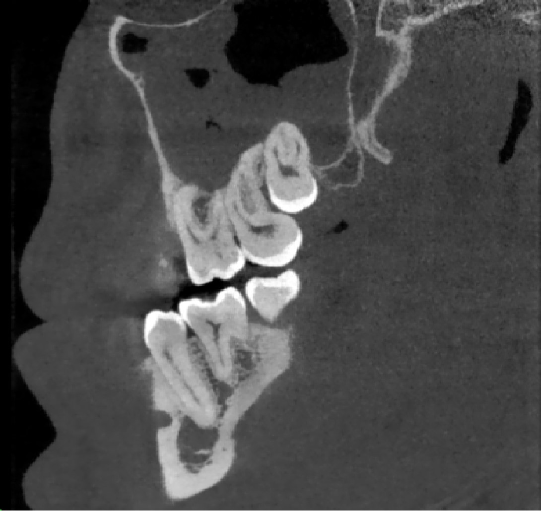
Інформація про форму коренів зуба, ширину та висоту кістки, розташування гайморових пазух та нижньощелепного нерву, для уникнення ризиків і ускладнень під час видалення та імплантації зубів.
Визначення складної канально-кореневої системи, наявність періапікальних змін, пошук додаткових каналів зуба, які можна пропустити при ендодонтичному лікуванні.
Виявлення патологій прикусу перед лікуванням брекетами. Діагностика новоутворень зубощелепної системи.
Як підготуватися до дослідження Вимог, які потрібно обов'язково дотримуватись - немає. Необхідно зняти всі прикраси та металеві предмети у зоні дослідження. Це потрібно для того, щоб знімок вийшов максимально чітким та вільним від артефактів спричинених металами.
1. Вам необхідно попередньо зняти усі металеві предмети, розташовані в зоні обстеження (сережки, ланцюжок, пірсинг, заколки, знімні зубні протези). Не слід турбуватися, якщо у вас встановлені імплантати, коронки чи брекети, адже їх наявність під час дослідження не несе для вас ніякої загрози!
2. Вас запросять до рентген-кабінету, де вдягнуть захисний свинцевий жилет, попросять пройти до КТ- апарату, пояснять яким чином стати, як закусити прикусну виделку, а також зафіксують положення голови. Під час дослідження необхідно стояти рівно, нерухомо, не ворушити головою, щелепами, утриматися від ковтання на одну хвилину. Це необхідно для запобігання виникненню артефактів від рухів, які можуть ускладнити якісну оцінку знімка.
3. Сам процес сканування займає декілька хвилин. Датчики томографа обертатимуться навколо вашої голови, що дозволяє зробити знімки в різних площинах. Отримані зображення обробляються комп'ютером, який відтворює чітке цифрове тривимірне зображення. Після закінчення процедури, термін очікування результату діагностики становить 5-7 хвилин. По закінченню Вам видадуть диск із записаним КТ дослідженням або роздрукований ОПТГ знімок. Також, за бажанням надішлють на електронну пошту.
4. При замовленні опису знімку, результат Ви зможете отримати вже наступного дня, при відвідуванні клініки особисто або завантажити з електронної пошти.
Якщо Ви стоматологія або клініка загальної практики і Вам цікаві послуги виїзної анестезіології, то переходьте за посиланням і дізнавайтесь подробиці.
Дізнатися більше